新浪河南 健康要闻

小小枣核凶险大,扎穿老人食管险要命

新浪河南

关注

确定不再关注此人吗

摘要: 一旦不慎吞咽下此类异物,不能再进食物、水,避免做吞咽动作。

大枣保健功效多,是深受老年人喜爱的食品,俗话说“一天三颗枣,容颜永不老”。然而,80岁的范大爷却因为大枣险些丢了性命,全因小小的枣核。

近日,范大爷吃大枣时,不慎枣核卡在了食道,尽管老人用了各种土办法,还是不管用,疼痛难忍之下,范大爷赶紧去当地医院就诊。

经当地医院检查,医生发现枣核嵌顿在食管入口处,因为范大爷没有及时就医,用土方法下噎枣核,导致枣核已深深刺入食管壁,加上范大爷年纪较大且合并有冠心病、心房颤动、肺部感染等疾病,当地医院建议范大爷到上级医院进一步治疗。经多方咨询,范大爷慕名来到郑州市第一人民医院。

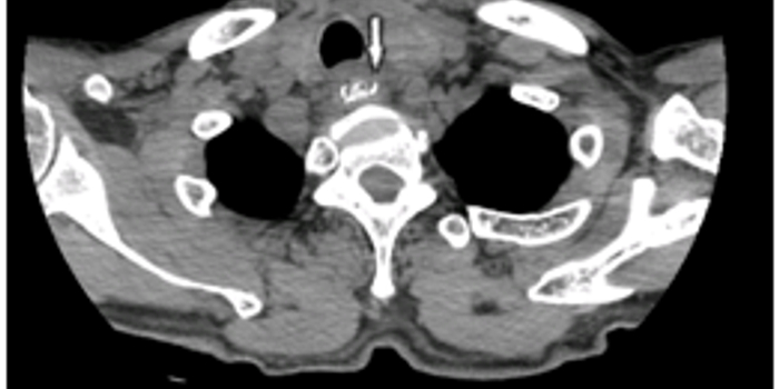
医院消化内科谢立群主任接诊后,对患者病情进行详细了解,检查结果显示,范大爷食管上段异物,食管右侧穿孔。考虑到枣核在食道内已经停留4天,目前已出现食管穿孔,如果治疗时间再有耽搁,可能会导致纵膈、胸腔感染以及血管破裂导致大出血,危机生命。

取出卡在食道的枣核势在必行,谢立群对范大爷手术风险进行仔细评估后,决定为范大爷急诊全麻下行胃镜异物取出术。

经过紧张的准备,手术顺利实施。手术过程中发现在食管距门齿17厘米处,也是食管上段最狭窄的地方,一颗大枣核嵌顿,枣核两端已深深扎入食管壁内。

经过努力,谢立群最终将枣核顺利取出,目前,范大爷已正常饮食,择日出院。

谢立群提醒到:避免食管异物,首先不要狼吞虎咽,尤其是在食用带壳、带骨及有核食物。对于枣核等尖、硬类异物,许多人习惯采用进食含纤维素的食物将其带下去,这样会使异物越扎越深,越卡越紧,加重病情,一旦不慎吞咽下此类异物,不能再进食物、水,避免做吞咽动作,应立即到医院尽早将其取出,以防异物刺破消化道,引起穿孔、出血等并发症。

通讯员:韩鑫颖

分享文章到:

相关新闻

//微信分享

推荐阅读

加载中...